어느 날 거울을 보는데 "어? 내 치아가 원래 이렇게 길었나?"라는 생각이 드신 적 없으신가요? 혹은 찬물을 마실 때마다 치아 뿌리 쪽이 찌릿하게 시린 경험, 한 번쯤 있으실 겁니다.
이것은 단순한 노화 현상이 아닌, '잇몸 내려앉음(치은 퇴축)'이 보내는 위험 신호일 수 있습니다. 잇몸이 무너지면 결국 치아를 지탱하는 잇몸뼈까지 녹아내려 소중한 자연 치아를 뽑아야 하는 상황이 올 수 있습니다. 오늘 이 글에서는 잇몸이 내려앉는 진짜 이유와, 더 이상 악화되지 않게 막는 치료법, 그리고 비용 부담을 줄이는 꿀팁까지 확실하게 정리해 드립니다.
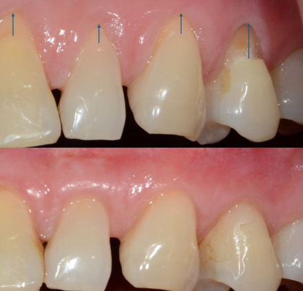
💡 잇몸 내려앉음(치은 퇴축)이란?
치아를 감싸고 있던 잇몸 조직이 아래로 내려가 치아 뿌리(치근)가 노출되는 현상입니다. 방치할 경우 치아 사이 공간(블랙 트라이앵글)이 넓어지고, 이 시림 증상과 충치를 유발하며 심한 경우 발치 후 임플란트가 필요할 수 있습니다.

목차
1. 혹시 나도? 잇몸 내려앉음 자가진단 리스트
잇몸 질환은 '소리 없는 도둑'이라고 불릴 만큼 초기 증상이 미미합니다. 아래 증상 중 2가지 이상 해당된다면 즉시 치과 검진이 필요합니다.
- ✅ 치아가 예전보다 길어진 느낌이 든다.
- ✅ 양치질을 할 때 잇몸에서 피가 자주 난다.
- ✅ 찬물을 마시거나 찬 바람을 쐴 때 이가 시리다.
- ✅ 치아 사이에 음식물이 자주 끼고 구취(입 냄새)가 심해졌다.
- ✅ 잇몸이 붉게 부어오르거나 고름이 나온 적이 있다.
2. 잇몸이 무너지는 충격적인 원인 3가지
많은 분들이 "나이가 들어서 그렇다"라고 생각하지만, 사실 잘못된 습관이 잇몸을 망가뜨리는 주범일 수 있습니다.

1) 잘못된 양치 습관 (분노의 칫솔질)
치아를 깨끗이 닦겠다는 생각으로 좌우로 강하게 문지르는 습관은 치아 표면을 깎아내고(치경부 마모증) 잇몸을 밀어 올려 퇴축을 가속화합니다.
2) 치석과 치주 질환
양치질로 제거되지 않은 플라크가 돌처럼 굳으면 치석이 됩니다. 이 치석은 잇몸 안쪽으로 파고들어 염증을 일으키고, 결국 잇몸뼈를 녹여 잇몸이 내려앉게 만듭니다.
3) 부정교합 및 이갈이
치아 배열이 고르지 않거나 잠을 잘 때 이를 가는 습관은 특정 치아와 잇몸에 과도한 힘(교합력)을 주어 잇몸 조직을 파괴할 수 있습니다.
※ 치주 질환 치료는 건강보험 적용이 가능하므로 비용 부담을 확인해보세요.
건강보험심사평가원
건강보험 심사평가원 홈페이지 로딩중 의료 질은 높게, 국민건강엔 날개를 의료 질은 높게, 국민건강엔 날개를 Smart HIRA, Better Health Smart HIRA, Better Health 보건의료를 가치있게, 온 국민을 건강하게
www.hira.or.kr
3. 되돌릴 수 있을까? 치료법 및 수술 비용
안타깝게도 한 번 내려앉은 잇몸은 자연적으로 다시 차오르지 않습니다. 하지만 더 이상의 악화를 막고, 심미적으로 개선하는 방법은 있습니다.
| 치료 단계 | 치료 방법 | 특징 및 비용(보험) |
|---|---|---|
| 초기 | 스케일링, 치근활택술 | 원인(치석) 제거, 건강보험 적용 (1~2만 원대) |
| 중기 | 치주 소파술 | 염증 조직 긁어냄, 마취 필요 |
| 심각 | 잇몸 이식술 | 입천장 등에서 조직을 떼어 이식 (비급여 가능성 높음) |
단순히 때우는 레진 치료(비보험, 5~10만 원 선)로 시린 증상만 막을 수도 있지만, 근본적인 잇몸 치료가 선행되지 않으면 밑 빠진 독에 물 붓기가 될 수 있습니다.
👉 잇몸 치료 시 통증 및 임플란트 수명과의 관계 알아보기 (클릭)
4. 방치하면 결국 임플란트? (뼈이식의 위험성)
잇몸 내려앉음 증상을 "나중에 치료하지 뭐"라며 미루면 어떻게 될까요? 최악의 경우 치아가 흔들려 빠지게 됩니다. 이때는 임플란트를 해야 하는데, 문제는 심을 땅(잇몸뼈)이 부족하다는 것입니다.
잇몸뼈가 녹아 없어진 상태에서는 일반적인 임플란트 수술이 불가능하며, 고난이도의 '뼈이식 수술'을 먼저 진행해야 합니다. 이 과정은 비용도 비용이지만, 환자가 겪는 통증과 치료 기간이 배로 늘어나게 됩니다.
👉 뼈이식 임플란트 과정은 얼마나 아플까? 비용과 기간 확인하기 (클릭)
만약 이미 치아 발치를 권유받으셨다면, 무조건 저렴한 곳을 찾기보다는 내 잇몸 상태에 맞는 임플란트 종류와 견적을 꼼꼼히 비교해 보셔야 합니다.
👉 2025년 기준 국산 vs 외산 임플란트 가격 총정리 (클릭)
5. 집에서 하는 잇몸 관리 예방법 (칫솔질 등)
치과 치료를 마쳤더라도 관리를 안 하면 잇몸은 다시 내려앉습니다. 일상 속에서 실천할 수 있는 예방법 3가지를 기억하세요.
- 올바른 칫솔질(회전법): 칫솔모를 잇몸에 45도로 밀착시켜 손목을 돌리며 쓸어내리듯 닦아주세요. 좌우로 빡빡 닦는 것은 금물입니다.
- 치간칫솔과 치실 사용 생활화: 칫솔이 닿지 않는 치아 사이의 플라크를 제거해야 치석이 쌓이지 않습니다.
- 정기적인 스케일링: 만 19세 이상이라면 연 1회 건강보험 적용(1만 원대)이 가능하니, 아프지 않아도 1년에 한 번은 꼭 치과를 방문하세요.

❓ 잇몸 내려앉음 관련 자주 묻는 질문 (FAQ)
- Q1. 잇몸약(인사돌, 이가탄 등)만 먹어도 치료가 되나요?
- 아니요. 시중에 판매되는 잇몸약은 보조제일 뿐입니다. 물리적인 원인(치석 등)을 치과에서 제거하지 않고 약만 먹는 것은 진통제를 먹으며 병을 키우는 것과 같습니다.
- Q2. 잇몸 이식 수술은 많이 아픈가요?
- 마취를 하고 진행하므로 수술 중 통증은 거의 없으나, 마취가 풀린 후 2~3일 정도는 욱신거리는 통증과 붓기가 있을 수 있습니다. 입천장에서 살을 떼어낸 경우 해당 부위가 쓰라릴 수 있습니다.
- Q3. 스케일링을 하면 잇몸이 더 내려앉나요?
- 가장 큰 오해 중 하나입니다. 스케일링 후 치아 사이가 벌어 보이는 것은 잇몸을 덮고 있던 치석이 제거되고, 부어있던 잇몸이 가라앉으면서 드러나는 자연스러운 현상입니다.
📝 핵심 요약 노트
- 잇몸 내려앉음은 자연 치유되지 않으며, 방치 시 발치로 이어질 수 있습니다.
- 잘못된 칫솔질과 치석이 주원인이므로, 올바른 양치법과 정기 스케일링이 필수입니다.
- 증상이 심하다면 잇몸 이식술이나 뼈이식 임플란트를 고려해야 하므로 전문가 상담이 우선입니다.
혹시 만 65세 이상 부모님의 잇몸 건강이 걱정되시나요?
국가 지원으로 비용 부담을 확 줄이는 만 65세 건강보험 적용 혜택을 꼭 확인해 보세요.
'건강 상식' 카테고리의 다른 글
| 임플란트 건강보험(만 65세) 핵심 요약, 우리는 단 30%의 비용만!! (0) | 2025.12.09 |
|---|---|
| 뼈이식 임플란트(치조골 이식술)란?, 임플란트라는 기둥을 단단히 세우기 위한 '기초 공사' (0) | 2025.12.09 |
| 임플란트 가격, 정확한 시세와 보험 혜택 (국산 기준 평균 70~120만 원, 외산 기준 120~180만 원) (0) | 2025.12.08 |
| 고혈압 당뇨병 지원금 신청, 정확하게 알아보고 챙겨가세요! (1) | 2025.11.26 |
| 고혈압 약 종류와 복용법, 부작용까지 완벽 정리 (0) | 2025.11.24 |